Stargardt hastalığı (Stargardt Makula Distrofisi veya Fundus Flavimakulatus), çocukları ve genç yetişkinleri etkileyen maküler dejenerasyonun genç yaşlarda görülen bir formudur. Hastalık, 10.000 kişiden birini etkilemektedir ve periferik görme korunurken, yaşamın erken dönemlerinde merkezi görme kaybıyla karakterizedir.
Stargardt hastalığının nedenleri
Stargardt hastalığı kalıtsal bir hastalıktır. Gözdeki A vitamini işlemesiyle ilişkili gen mutasyonu, hem anneden, hemde babadan çocuğa iletilir. Eğer bir ebeveynden alınırsa, hastalıkla sonuçlanmaz. Nüfusun yaklaşık yüzde 5’i, stargardt hastalığınında dahil olduğu retinal hastalıklara neden olan gen mutasyonu için taşıyıcıdır.
Stargardt hastalığının ilerlemesi
Hastalık, hayatın erken döneminde başlar, genellikle 20 yaşından önce (6 yaşından erken). Bununla birlikte, benzer kalıtsal eğilimleri taşıyan aynı aile üyelerinde meydana gelebilecek farklılıklar nedeniyle, hastalık ilerlemesinin hızını veya retinal hasarın derecesini tahmin etmek zordur.
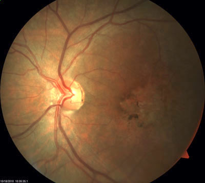
Stargardt hastalığının belirtileri
Stargardt hastalığının belirtileri şunları içerir:
- Periferik görme korunduğu halde merkezi görme kaybı
- Bulanık görme ve çizgilerin bozulmuş görülmesi
- Düşük ışık altında görme güçlüğü
- Benzer yüzleri tanımada zorluk
- Renkli görme kaybı (geç evrelerde)
Stargardt Hastalıgı için görmeyi artırıcı araçlar
Stargardt hastalığını nasıl önleyebilir veya yönetebilirim?
Araştırmalar, parlak ışığa maruz kalmanın retinal hasarın tetiklenmesine ya da çoğalmasına neden olabileceğini gösteriyor. Halen stargardt hastalığı tedavisinde umut verici gelişmeler olmakla birlikte halen kesin bir tedavi mevcut değildir. Hastaların güneş gözlüğü vb. ile parlak ışığa karşı korumaları ve ultraviyole ışınlardan kaçınma zorunluluğu vardır.
Hastalık ilerlediğinde, çoğu insan yapılabilecek hiçbir şey olmadığını düşünerek hayal kırıklığına uğrar, ancak bu tamamen doğru değildir. Stargardt hastaları için özelleştirilmiş Optik Sistemler (LVA, Az Görenlere Yardım Cihazı, Teleskopik Gözlük) kullanılabilir ve kişilerin işlevsel görmesi artırılarak hayattan zevk almaları sağlanabilir.
Özel Optik Sistemler, her bir bireye ve bireysel hedeflerine yönelik olarak tasarlanmış özel gözlüklerdir. Bu özelleştirilmiş gözlükler, stargardt hastalığı ve maküler dejenerasyon gibi düşük görüş koşulları için özel olarak tasarlanmış teleskop ve mikroskop merceklerinden yararlanmaktadır.
Stargardt Hastalığı için Az görenlere yardım cihazları..
Az görme yard cihazları: Stargardt hastaları büyütücü cihazlara iyi yanıt veririler. Erken evrelerde basit bifokaller kullanılabilir. Get evrelerde CCTV sistemleri faydalı olabilir. Genç hastalar için iyi kozmetik görünümü korumak önemlidir. Mobilite genellikle minimal olarak etkilenmiştir.
Uzak görmeye yardımcı cihazlar
Monokuler teleskop (elde tutulan veya gözlüğe monte edilebilir model)
Binokuler teleskop
SEE TV: Gözlük tipinde teleskop
Yakın görmeye yardımcı cihazlar
Büyüteçli gözlükler
Standlı büyüteçler
Elde tutulabilen büyüteçler
Küre tipi büyüteçler
Fresnel yazı büyüteçleri
Taşınabilir büyüteçler
CCTV görmeye yardımcı cihazlar
CCTV: Closed Curcuit Tele Vision (Aladdin, Eye-Q, Bonita, Quick look Zoom,,Onyx..)
Bilgisayar Programları ve Mobil aplikasyonlar
Reader programları:
1. JAWS
2. KNFB Reader
3. Text Aloud
Büyütme ve Reader programları:
1. Magic
2. Zoom Text
Metin tarama programı:
1. Open Book






