Sarı Nokta Hastalığı önlenebilirmi? Bu yazımda, Makula Dejenerasyonu tanısı almış hastalar için diyet ve vitamin önerileri üzerinde durmak istiyorum. Bu günkü yazımda; Makula dejenerasansında nelerin yararlı olup olmadığını değerlendirmek üzere AREDS çalışmasını mercek altına alacağız. Gelecek yazımda: YBMD açısından, tüketilmesinin yararlı olabileceği düşünülen, ancak henüz kanıtlanmamış besinler üzerinde duracağım. Birkaç yıl once 2001 de Age Related Macular degerenation(AREDS veya …
Glokom için yeni cerrahi yöntem: Trabectome
Glokomu olan hastaların bir çoğu hastalıklarının farkına varamamaktadırlar, bu nedenle glokom hastalığına “gözün sessiz hırsızı” tabiri kullanılmıştır. Glokom tüm dünyada yaklaşık 3 milyon insanı etkileyen, önde gelen körlük ve görme bozukluğu nedenlerindendir. Herkezde glokom gelişebilir, ancak bu hastalığa yakalanma açısından 40 yaş üzerindeki kişiler, ailesinde hastalık öyküsü olan kişiler yüksek risk taşırlar. Glokom ilerici bir optik sinir hastalığıdır, glokom, yüksek …
Katarakt tekrarlayacak olur ise
Retina sorunu olmadığı halde görme kataraktı taklit edercesine tekrar bozulabilir; Görmede bulanıklaşma, kamaşma ve görünen şekillerde bozulma. Bu durum sıklıkla YAG kapsülotomi denen ağrısız basit bir laser tedavisi ile düzeltilebilir. Katarakt Cerrahisi ve göz içi lens implantasyonu; Gri saç geliştiği gibi, herkezde katarakt gelişebilir. Zamanla gözümüzdeki doğal lens bulanıklaşmaya başlar. Bu bulanıklaşma görme kaybına neden olur. Göz içerisindeki doğal lensi …
Gözde ışık çakması
Gözde ışık çakmasının birçok nedeni vardır. En sık görülen nedeni arka vitreusun ayrılmasıdır(PVD) , ancak retinal yırtık, migren ve enflamasyon da benzer görsel yakınmalara neden olabilir. Diğer sayfalarda ışık çakmalarının PVD ve retinal yırtık nedeniyle görülebileceği detaylı olarak anlatılmıştır. Migrene bağlı ışık çakmaları Without getting too specific, there are visual migraines that yield a scintillating light pattern, often confused with flashes. The …
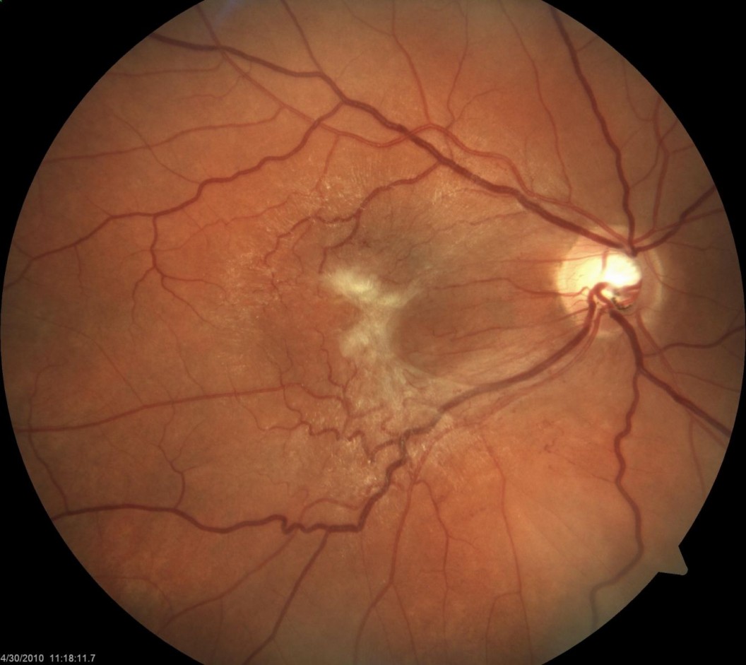
Epiretinal Membran – Makula Önü Zarı Tedavisi
Görme merkezi önünde zar oluşumu: (Makula zarı, Maküler Epiretinal Membran, Macular pucker) Makula önü zarı, detay görmeyi sağlayan, görme merkezi (makula) önünde ince bir zar tabakasının oluşmasıdır. Semptomlar Çoğu zaman makuladaki retina önündeki zarlar çok ince olduğundan hiçbir belirti vermeden yıllarca sessiz kalabilirler. Zamanla zarda gelişen kalınlaşma görme merkezinde çekintiye yol açarak görmede bulanıklaşmaya, cisimlerin eğri görülmesine neden olurlar. Tanı Retina anjiyografisi …


